Tierheim Verlorenwasser

Tierheim Verlorenwasser

Aktuelles

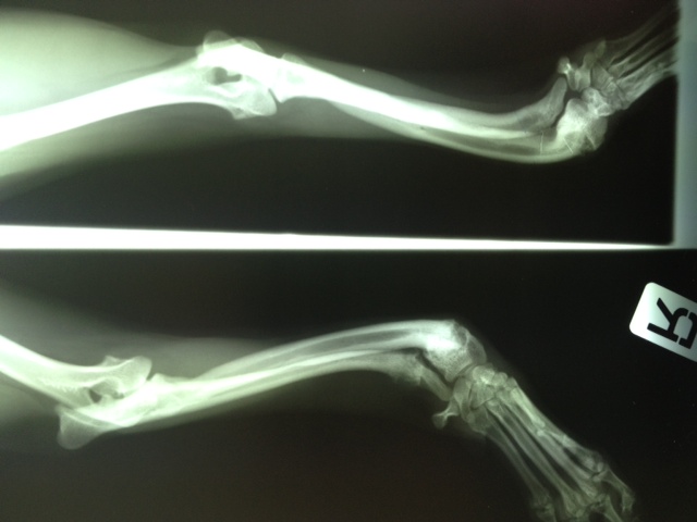
Felipas erste Operation

06Heute hatte Felipa ihren ersten OP-Termin.

Wir waren alle sehr aufgeregt. Und selbst der erfahrene Arzt meinte, es sei eine ungewöhnliche Aktion, denn normalerweise weist nur ein Pfötchen so starke Anomalien auf. Er hatte es noch nicht, dass beide operiert werden müssen.

Felipa war relativ unbeeindruckt von der ganzen Geschichte und tanzte schon kurz nach dem Eingriff wieder auf dem Tisch herum.

In sechs Wochen erfolgt dann die zweite OP.

Wir danken herzlich für die Geldspenden, die dies alles erst ermöglicht haben - aber bitten auch dringend um weitere Überweisungen, denn wir mussten heute auch Griffin operieren lassen, der sich mit Kniescheibenproblemen herumplagte. Und weil Lucy auch Probleme zu haben scheint, haben wir sie heute mitgenommen zum Röntgen. Es stellte sich leider heraus, dass sie einen Kreuzbandriss hat, der ebenfalls operiert werden muss.

Kein Tier soll bei uns Schmerzen leiden müssen, bloß weil das Geld nicht reicht. Deshalb hoffen wir inständig auf Ihre Hilfe.

Unser Spendenkonto

Tierheim Verlorenwasser

Kontonummer: 35 27 00 34 00

Mittelbrandenburgische Sparkasse

Bankleitzahl: 160 500 00


Kontakt

Tierheim Verlorenwasser
Verlorenwasser 17
14806 Bad Belzig, OT Werbig

Tel.: 033 847 - 41 890

Spendenkonto

Spendenkonto: 35  27 00 34 00
BLZ: 160 500 00
Mittelbrandenburgische Sparkasse

IBAN: DE05 1605 0000 3527 0034 00
BIC: WELADED1PMB

Wir brauchen Ihre Hilfe,

denn wir erhalten keinerlei staatliche Hilfe, sondern finanzieren das Tierheim aus Spenden und Erbschaften.

Wir sind als gemeinnützig und besonders förderungswürdig anerkannt und dürfen Spendenbescheinigungen ausstellen.

Wir benutzen Cookies

Wir nutzen Cookies auf unserer Website. Einige von ihnen sind essenziell für den Betrieb der Seite, während andere uns helfen, diese Website und die Nutzererfahrung zu verbessern. Sie können selbst entscheiden, ob Sie die Cookies zulassen möchten. Bitte beachten Sie, dass bei einer Ablehnung womöglich nicht mehr alle Funktionalitäten der Seite zur Verfügung stehen.