Aktuelles
Wir berichteten bereits, dass wir von der Schornsteinfegerinnung einen Scheck in Höhe von 1.000 Euro entgegennehmen durften.
Das Geld stammte aus dem Verkauf eines ganz speziellen Kalenders: die Schornsteinfeger hatten erfahren, dass sich schwarze Tiere schlechter vermitteln lassen und länger in den Tierheimen auf eigene Familien warten müssen als andere.
Aus Solidarität ließen sich 12 Schornsteinfeger und Schornsteinfegerinnen mit einem schwarzen Tier fotografieren.
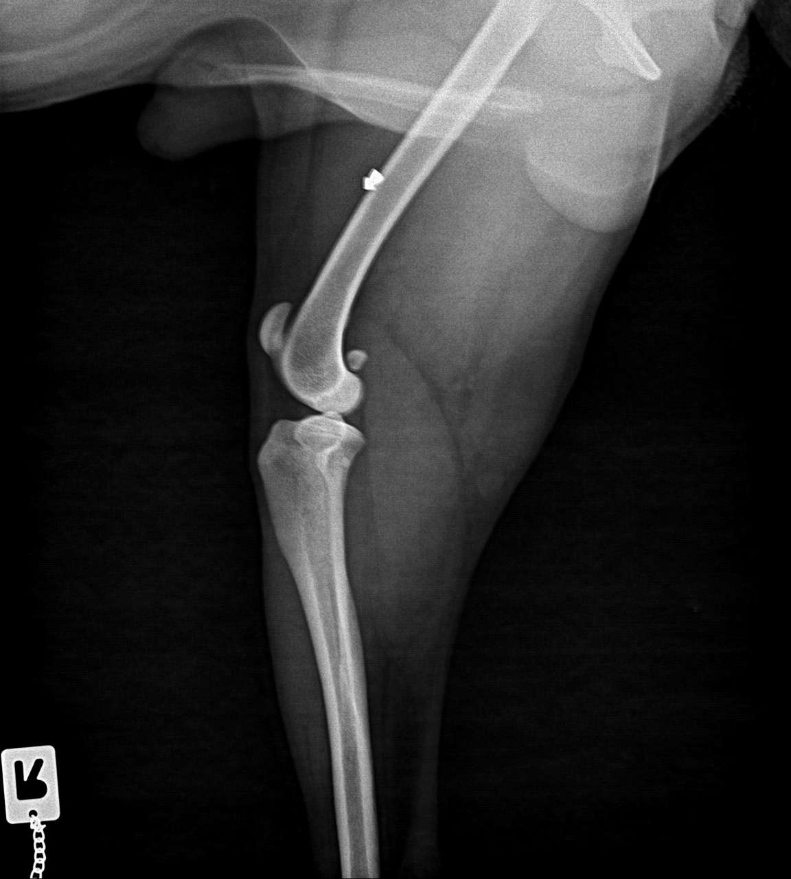
Blossek stammt aus einem Tierheim in Warschau. Im Rahmen unserer Hilfsaktionen für die Ukraine haben wir Tiere aus Polen aufgenommen, damit sie Platz bekommen für ukrainische Tiere. Aus rechtlichen Gründen ist es uns leider nicht gestattet, Tiere direkt aus der Ukraine aufzunehmen - aber so ist ihnen ja auch geholfen.
Da wir sowieso mit mehreren Tieren zur Chirurgie nach Berlin mussten, packten wir den humpelnden Blossek gleich mit ein.
Auf den Röntgenbildern zeigten sich dann zwei Geschosse: Diabolos aus Luftgewehren - eines im Bauchraum und eines im Bein.
Dummerweise sitzt das eine im Bein im Muskel. An diese OP traut sich nicht jeder Tierarzt heran.
Die Schornsteinfegerinnung rief an: sie hätten da so eine Kalenderaktion durchgeführt und wir sollen vom Verkaufserlös was abbekommen. Schön. Wir freuen uns immer über jeden Euro. Die Anruferin teilte mit: es sollen wohl tausend Euro werden. Wow!
Ein paar Tage später erhielten wir den Übergabetermin. Er sollte in Berlin stattfinden im Roten Rathaus. Wow! Wow!
Na ja, dachten wir uns. Es bekommen auch ein Tierheim aus Schleswig-Holstein etwas, eines aus Mecklenburg-Vorpommern, das Tierheim Berlin, die Tiertafel ... Da ist Berlin als Treffpunkt einfach zentral und im Berliner Rathaus kann man Konferenzräume wahrscheinlich günstig anmieten, vermuteten wir.
Eigentlich wollten wir keine Tiere mehr aus Rumänien aufnehmen, denn dort tummeln sich inzwischen seltsame deutsche Vereine, die Hunde in Massen nach Deutschland holen – ohne die Tiere richtig zu kennen oder Interesse daran zu haben, ob man ihnen und ihren neuen Besitzern einen Gefallen mit der Verfrachtung tut. Hauptsache die Kasse klingelt und man kann sich im Netz gegenseitig beweihräuchern wegen der angeblichen „Rettungen“.
Eigentlich wollten wir schon für die Einsendung der eintausendsten Zuschrift in unserer Rubrik "Ehemalige berichten" ein kleines Geschenk spendieren. Aber wir haben es verpasst.
Deshalb kündigen wir an: derjenige oder diejenige, der den 1.111-ten Beitrag für unsere Webseite schickt, kann sich einen kleinen Preis aussuchen.
Es liegen bereit: Spielesets aus Quietschies und Frisbee, Plüschtiere, Tierbücher und eine DVD.






